CM-0141
$ 98.00
Select a size
Quantity
In stock
Add to CartFor order requirements and technical needs, please Contact Us
Product Introduction
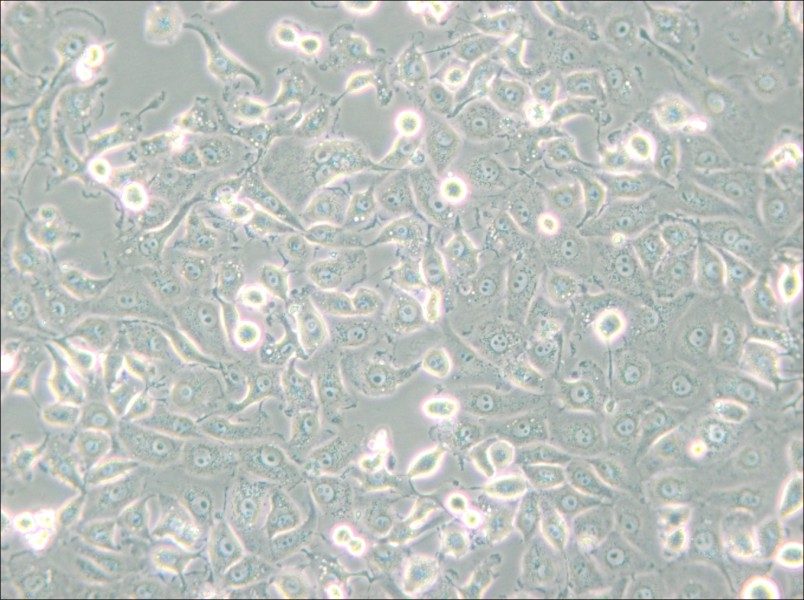
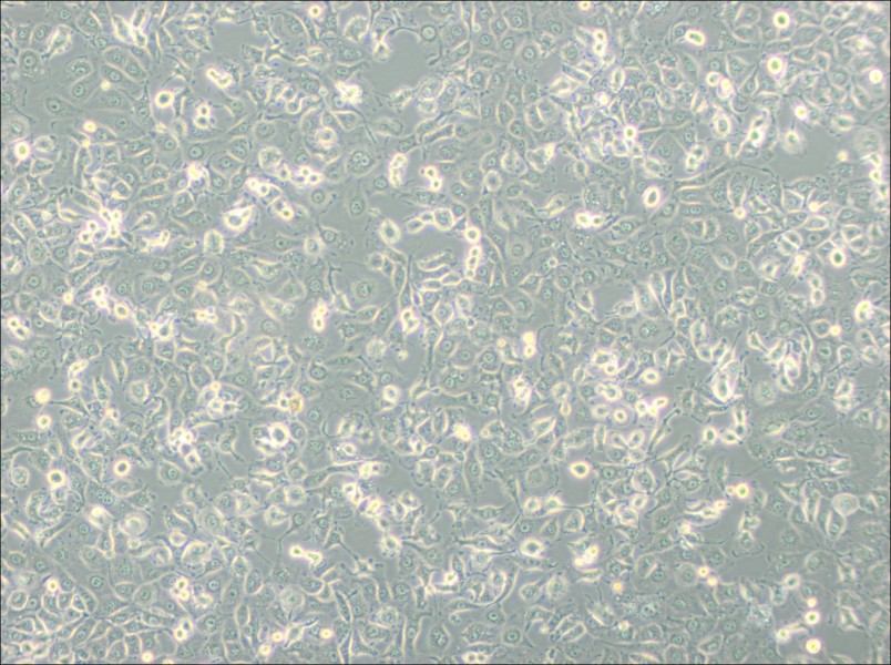
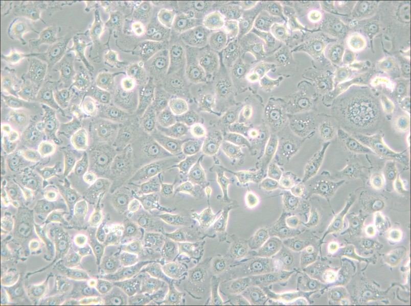
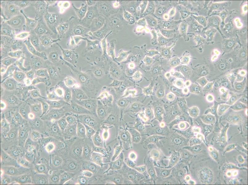
Background
LLC-MK2 Cell Complete Medium is a ready-to-use medium that can be directly used for the culture of LLC-MK2 cells, which is carefully designed and optimized by Procell's R&D team based on MEM (ATCC modified) basal medium. This high-quality complete medium has been strictly verified by LLC-MK2 cells which could promote cell proliferation and maintain cell properties.
Matters Need Attention
1. This product is only used for scientific research or further research, not for diagnosis and treatment.
2. This product is sterilized by 0.1 μm filtration.
3. It is necessary to pay attention to the aseptic operation and avoid the contamination during the culture.
4. It is not suitable for long time storage at room temperature.
5. This product is a ready-to-use medium. If there is no special need, don't add serum, penicillin and streptomycin. It can be used directly.
System Certification
GMP Production and Quality System
The company complies with cGMP requirements, holds the NMPA medical device registration certificate, and is certified under ISO 13485 and ISO 9001 standards. Among its products, the company's LLC-MK2 Cell Complete Medium complies with ISO 9001.
Specifications
| Concentration | 1× |
| Volume | 125mL×4 |
| Form | Liquid |
| Bacteria Detection | Negative |
| Fungi Detection | Negative |
| Mycoplasma Detection | Negative |
| Endotoxin Content | < 3 EU/mL |
| pH | 7.4-7.8 |
| Components | MEM (ATCC modified) [PM150467]+10% Nutrient+1% Supplement |
| Green Features | Sustainable packaging |
| Valid Period | 6 months |
| Storage Condition | This product can be stored at 2-8℃ for 6 months with shading light. |
| Shipping Condition | Ice bag |
